







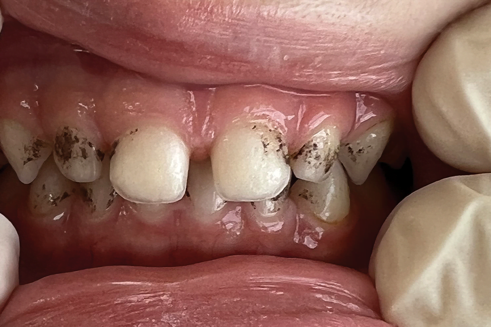
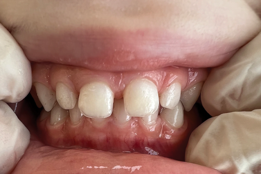
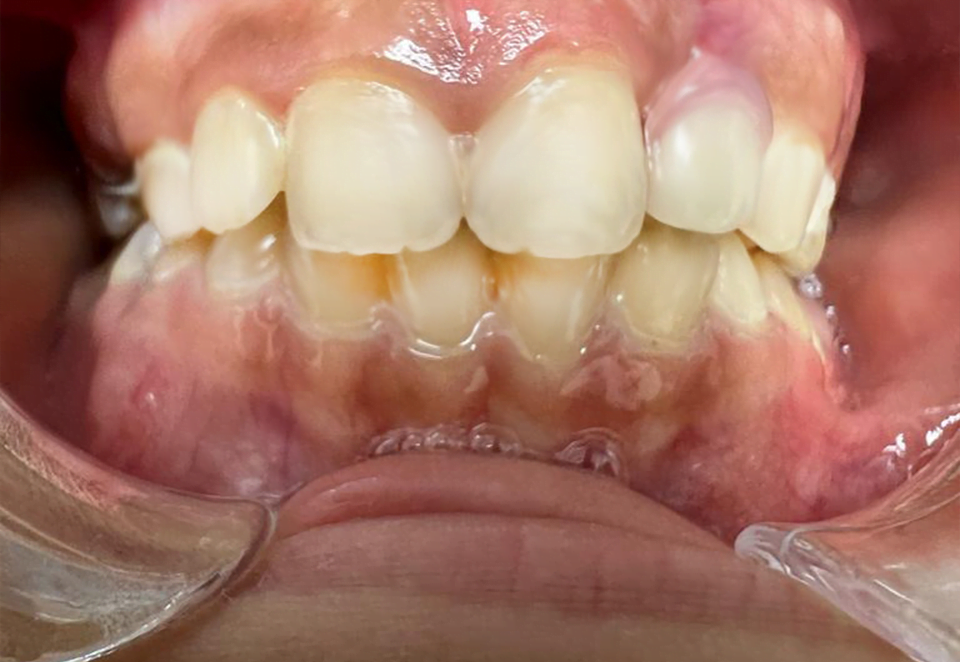
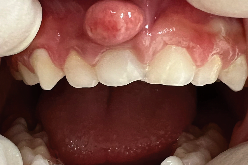
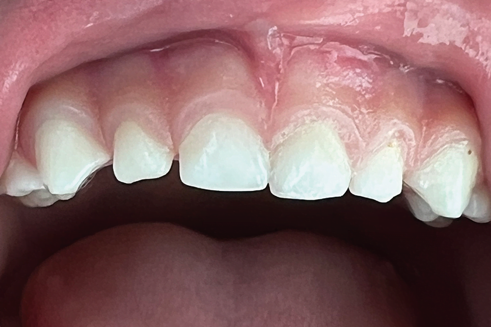
Experience the exceptional dental trauma treatment provided by Dr. Eman Rabea Kalloub. Our collection of before-and-after cases showcases the successful management of various dental trauma cases. From fractures and dislodged teeth to root canal treatments or tooth reimplantation, Dr. Kalloub’s expertise ensures accurate diagnosis, timely intervention, and effective restoration of traumatized teeth. Through meticulous treatment planning and advanced techniques, Dr. Kalloub restores both the function and aesthetics of the affected teeth, providing relief and a renewed smile.








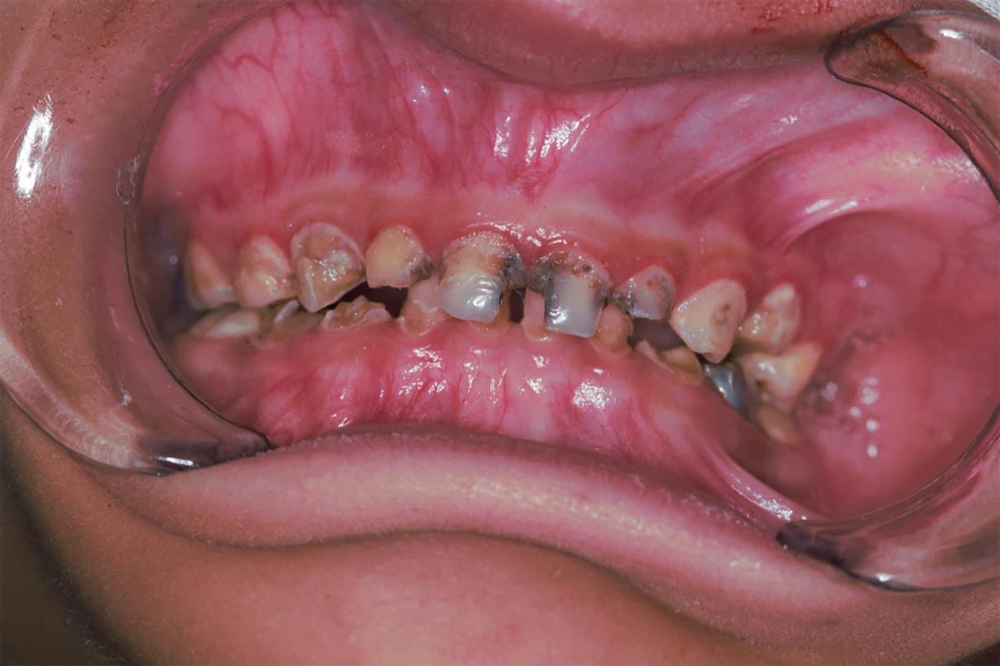
Discover effective relief from the discomfort and infection of tooth abscesses through Dr. Eman Rabea Kalloub’s specialized treatment. Our before-and-after cases highlight successful outcomes achieved through prompt diagnosis and targeted intervention. Dr. Kalloub’s expertise in managing tooth abscesses involves a combination of thorough examination, drainage of the abscess, and appropriate antibiotic therapy. By eliminating the infection and preserving the affected tooth, Dr. Kalloub restores oral health and prevents further complications.

